Доброго времени суток дорогие читатели! Сегодня мы вновь расскажем вам о чем-то необычном и очень интересном, а именно - о супер ограниченной версии первых Air Jordan.
Быть здоровыми важно всем, но вот только одно дело, если на работу выйдет бухгалтер с подвернутой лодыжкой, и совершенно другое дело травмироваться профессиональному спортсмену. Спортсмен с травмой или болезнью может подвести свою команду и что хуже всего, нанести своему здоровью непоправимый вред и закончить на этом свою карьеру. К сожалению, такие истории не редкость. В свое время зал славы NBA мог пополниться такими игроками как: Грант Хилл, Трейси Макгрейди, Пенни Хардвей и другими. Однако, как это ни печально, перечисленные спортсмены получили травмы не совместимые с профессиональной карьерой.
Ладно, не будем о грустном, ведь история знает и другие примеры, такие как Майкл Джордан и Леброн Джеймс. Этим спортсменам удалось полностью реабилитироваться и только приумножить свои достижения.
Многие не в курсе, но карьера Майкла Джордана могла закончиться, практически не начавшись. Если вы читали цикл биографических статей на нашем сайте, то можете помнить, что большую часть второго сезона Майкл пропустил благодаря травме. Кто-то может сказать: «Ну, травма и травма, подумаешь. Он же выздоровел и сделал много всего крутого, подумаешь.»

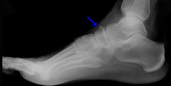
На самом деле все было очень серьезно. Потенциальная звезда кортов NBA получила диагноз - ПЕРЕЛОМ ЛАДЬЕВИДНОЙ КОСТИ (такая же травма поставила точку на карьере Яо Мина). Ладьевидная кость – это маленькая косточка в нашей ступне, которая отвечает за правильное распределение веса тела на стопу во время движении. Учитывая рост и вес Джордана, игра с такой травмой была просто невозможна. Произошедшее стало большим ударом для команды «Быков». В прошлом сезоне только благодаря новичку они пробились в плей-офф, а теперь он вне игры. Также своей травмой Майкл подставил и Nike, компания очень сильно рисковала, когда заключала дорогостоящий спонсорский контракт.
В общей сложности Майкл пропустил 64 игры и смог снова выйти на поле только 15 марта 1986. В теории, он должен был вернуться значительно позже, но как говорил баскетболист: «Одной из причин раннего возвращения, было желание проверить ногу. Если бы я вышел играть в сентябре, не испытав ступню в реальных условиях NBA, и понял что проблема не исчезла, я наверняка пропустил бы и следующий сезон.»
Вернувшись в родную среду, Майкл был переполнен желанием помочь своей команде и протолкнуть её в плей-офф, но этому желанию мешало единственное ограничение, поставленное главным тренером – Стенам Альбеком.
«Дело в том, что в то время мы занимались моей реабилитацией, и я тренировался по два часа в день. Если я могу пройти двух часовую тренировку, такую же напряженную, как и реальная игра, тогда почему меня выпускают всего на 7 минут в каждом периоде? » - возмущался Майкл Джордан.


Через неделю «Быки» отправились в Бостон, что бы сыграть с «Селтикс». Особенно глазастые болельщики обратили внимание на модернизированные кроссовки Майкла. В Nike эту модификацию назвали «Strap over Swoosh». От обычных Air Jordan 1 их отличала конструкция из нейлоновых ремешков и алюминиевых пряжек, предназначенная для стабилизации ноги Майкла и лучшего распределения нагрузки.
«Strap over Swoosh» Air Jordan 1 хоть и являются одними из наименее обсуждаемых пар в карьере Майкла - это не мешает коллекционерам охотиться за ними. Пара таких джорданов была продана на аукционе за 22 тысячи вечно зеленых.
Доподлинно неизвестно, надевал ли Джордан эти кроссовки где-то кроме той игры в бостоне, которая была задокументирована фотографом Диком Рафаэлем. В той игре Майкл забил 20 очков за 16 мин. Он возглавил команду, и помог «Быкам» выйти в плей-офф, где они вновь встретились с «Селтикс».
К тому времени Джордану уже не требовались никакие ухищрения для нормальной игры.
Air Jordan 1 о которых вы не слышали
17 ноября 2017
Комментарии





